Phone (559) 439-2868
Scheduling regular teeth cleaning appointments can help to prevent painful and costly dental problems in the future. We encourage our patients to visit us at least twice per calendar year. However, if you have gum disease, you will be required to visit more regularly.
Regular dental exams are an important part of preventive health care. During a dental exam, the dentist or hygienist will clean your teeth and check for cavities and gum disease. The dentist or hygienist will also evaluate your risk of developing other oral health problems, as well as check your face, neck and mouth for abnormalities.
Most individuals require at least one tooth filling in their lifetime. Dental fillings are most commonly used to effectively treat cavities. In addition, they can be used to repair broken or cracked teeth. Most dental filling procedures include topical and local anesthetic to numb the area of treatment, decay removal from the affected tooth, tooth restoration through composite or amalgam filling, and a comprehensive bite check to ensure the teeth are aligned comfortably.

A root canal is a treatment used to repair and save a tooth that is badly decayed or becomes infected. During a root canal procedure, the nerve and pulp are removed and the inside of the tooth is cleaned and sealed. Without treatment, the tissue surrounding the tooth will become infected and an abscess may form. A tooth that needs a root canal often is one that has a large filling or extensive decay or other weakness, a crown and post, or other restoration often needs to be placed on the tooth to protect it, prevent it from breaking, and restore it to full function.

A crown (often called a cap) fits over and replaces the entire part of a tooth above the gum line. It encases the tooth and becomes the tooth's new outer surface. Crowns may be made of porcelain or a metal base covered with a thin layer of ceramic that matches your teeth and looks like a normal, healthy tooth. Some crowns for the teeth in the back of the mouth may even be made of gold. Tooth decay is removed and a impression is taken of your teeth to create a mold used for making the crown.

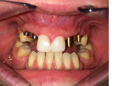
The reality is that missing teeth will affect the overall health and aesthetics of the teeth. When a tooth is removed, the bone immediately begins to resorb and the surrounding teeth begin to move.The placement of an implant will prevent that movement as well as continue to stimulate the bone, especially if a tooth has been missing for a period of time. As the bone resorbs there is a loss of muscle attachment and may result in the skin appearing ‘saggy’. In this respect, replacing the tooth into the bone with a dental implant allows the muscle to become stronger and the bone to revitalize. This allows the facial skin to expand looking smoother.

Teeth can become stained from the foods we eat and drink. A great way to bring back the brilliance and radiance of your smile is with Teeth Whitening treatments. In-office bleach treatments and at-home whitening custom trays are available options.

Invisalign is a great option if you have thought about having straighter teeth, closing up some spaces or just improving your smile. Have you noticed more wear and chipping of your teeth? Teeth that are aligned correctly decrease wear and chipping. Bleeding and swollen gums? Teeth that are aligned correctly are easier to clean and keep healthy. Call us for your no cost evaluation. We have great financing available.

Most people probably grind and clench their teeth from time to time. Occasional teeth grinding, medically called bruxism, does not usually cause harm, but when teeth grinding occurs on a regular basis the teeth can be damaged and other oral health complications can arise. Although teeth grinding can be caused by stress and anxiety, it often occurs during sleep and is more likely caused by an abnormal bite or missing or crooked teeth. It can also be caused by a sleep disorder such as sleep apnea. We can fit you with a mouth guard to protect your teeth from grinding at night.


BEFORE
1/2